
關於皮秒雷射,你該知道的6件事!
2020年9月18日
醫學美容
關於皮秒雷射,你該知道的6件事!

皮秒雷射自從上市以來一直是雷射界遙遙領先的大哥級儀器,當然它夯也有它夯的道理,除了去除黑色素的能力比起傳統淨膚雷射的效果好,反黑的情形也減少許多,更重要的是能增生膠原蛋白,藉此改善毛孔、痘疤等皮膚凹陷處,就好像健達出奇蛋,三個願望一次滿足啊!
先來解釋一下為何稱為「皮秒」雷射,「皮秒」代表著時間的單位,為 10−12 秒(0.000000000001 秒),比傳統淨膚雷射的「奈秒」,擊發的速度快了 1000 倍,這使得皮秒雷射在治療時能夠瞬間震碎色素斑塊。
由於每發能量停留在皮膚上的時間極短,瞬間作用能量強卻不容易造成肌膚熱傷害,因此不容易產生反黑的副作用,是相對安全又有效的治療,也提升了患者的舒適度。究竟皮秒雷射還有哪些你(妳)應該要知道的事呢?
淺層斑點和深層斑點都能打嗎?
一般來說皮秒雷射是淨膚雷射的加強版,淨膚雷射能處理的皮秒雷射都可以做到,而且由於皮秒雷射作用的時間更短,搭配不同波長的探頭,可以同時處理淺層斑點和深層斑點,以下的影片可以讓讀者更了解皮秒的除斑效果。
皮秒雷射能改善毛孔和痘疤,到底是怎麼辦到的啊?
談到治療毛孔和痘疤,多數人可能會想到傳統的飛梭雷射,或是飛針、滾針等治療,由於這類的治療對於皮膚的破壞性較大,通常恢復期會比較久,術後的照護也需要花更多的時間。
而皮秒雷射搭配專業聚焦透鏡(俗稱蜂巢技術),可放大雷射能量,讓肌膚產生空泡效應(laser-induced optical breakdown)。

那什麼是空泡效應 LIOB(laser-induced optical breakdown)呢?當施打蜂巢雷射,強大的雷射能量會在真皮層震盪產生小空泡,這些小泡泡會把牽扯在一起的疤痕組織鬆開(光剝離效應 Laser subcision),進一步誘發膠原蛋白的重組與新生,進而改善皮膚的細紋、毛孔和疤痕。
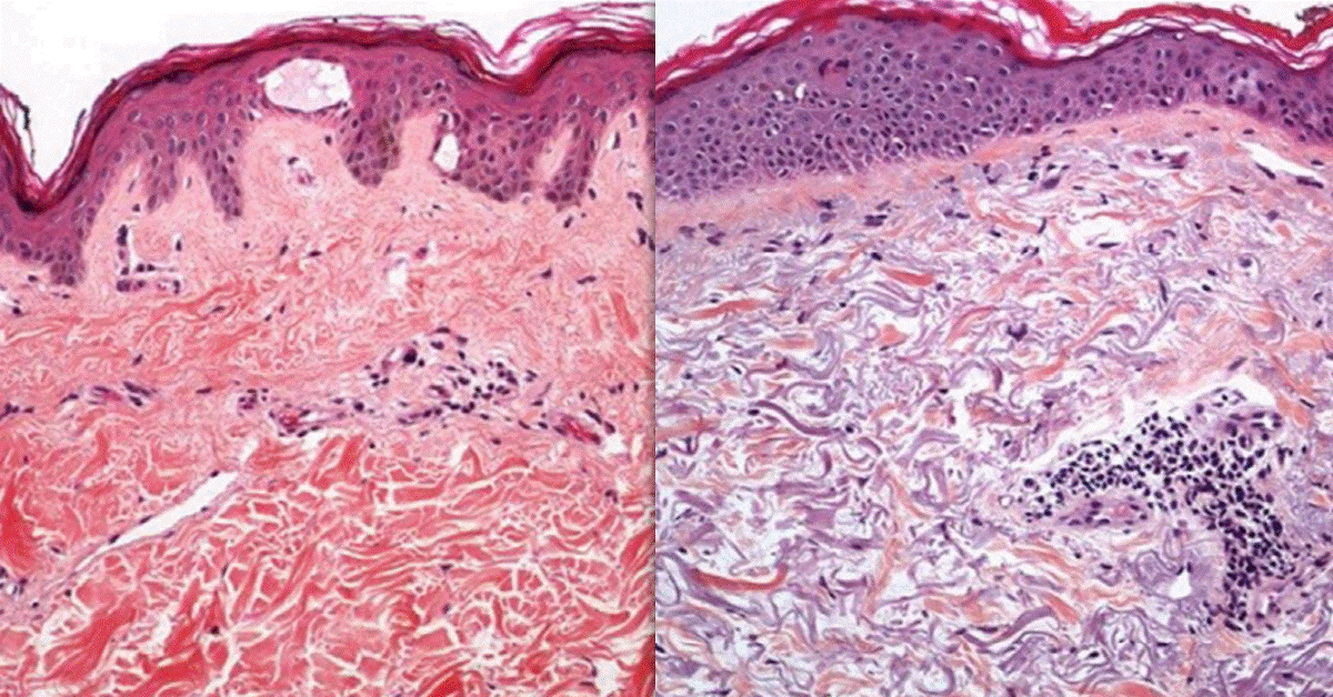
如上方左圖為打完蜂巢透鏡產生的空泡效應,上方右圖為膠原蛋白及纖維細胞填補空洞後的情形。
皮秒雷射可以讓肌膚年輕化?
在國外有一篇研究是這樣進行的:受試者接受皮秒蜂巢透鏡治療唇周和眼周的細紋,每個月接受一次的治療,總共打了四次,並在第六個月做唇周和眼周的皮膚切片,結果發現有接受過皮秒蜂巢透鏡治療的受試者他們的皮膚真皮層明顯增厚,膚質也有明顯的改善。
如下圖眼周細紋在三次皮秒蜂巢透鏡治療後改善許多。

當我們年紀越來越大,皮膚的膠原蛋白會漸漸流失,因此可以發現許多老年人的皮膚都很薄,而嬰兒的皮膚就相對有彈性許多。透過接受皮秒蜂巢透鏡治療,能夠反轉老化的跡象,因此可以讓肌膚年輕化。
除了臉部以外,身體其他地方也可以打皮秒嗎?
由於皮膚的附屬結構,像是汗腺、皮脂腺、毛囊等等,在臉部的分布比較均勻,在身體部位的分布較不平均,而這些附屬結構對於施打雷射後的修復扮演了很重要的腳色。因此在臉部以外的部位施打雷射有可能造成膚質改善不均的缺點。

但是有越來越多的研究證實在手背處的皺紋或是胸前的色素沉澱用皮秒蜂巢透鏡治療也會有很好的效果,上圖是四次皮秒蜂巢透鏡治療前後,可以發現皺紋和膚質狀況有明顯的改善。
疤痕產生的色素沉澱,打皮秒也有效嗎?
疤痕產生的色素沉澱以往都用淨膚雷射來淡化,但由於淨膚雷射是根據光熱效應原理(photothermal effect)治療,還是有熱能會造成較強的組織傷害。而皮秒雷射是根據光震效應原理(photoacoustic effect)來治療,利用瞬間的光震波擊碎黑色素,因此效果比傳統淨膚雷射要好,治療次數也會縮短。

皮秒也能除刺青?
在皮秒雷射問世之前,刺青的去除幾乎都是用傳統淨膚雷射來處理,但由於淨膚雷射是光熱效應原理(photothermal effect),往往會造成許多的併發症,除了容易出血、起水泡外(如下圖),也較容易造成過敏反應或色素不均的情形。

但是皮秒雷射瞬間作用能量強卻不容易造成肌膚熱傷害,因此所造成的併發症較傳統淨膚雷射減少許多,再加上可以針對不同的色料搭配不同的波長去除,因此可以有效去除較鮮艷複雜的刺青。

結論
皮秒雷射這幾年已經逐漸取代傳統的淨膚雷射,就好像用了 iphone 手機就不會再去選擇 Nokia 3310。不過在施打雷射之前,還是要讓醫師好好評估過後,再針對每個人的膚質狀況給予適當的治療建議囉。
參考文獻
Weiss RA, McDaniel DH, Weiss MA. Safety and efficacy of a novel diffractive lens array using a picosecond 755 nm alexandrite laser for treatment of wrinkles. Lasers Surg Med. 2017 Jan;49(1):40-44. doi: 10.1002/lsm.22577. Epub 2016 Sep 29.
Saluja R, Gentile RD. Picosecond Laser: Tattoos and Skin Rejuvenation. Facial Plast Surg Clin North Am. 2020 Feb;28(1):87-100. doi: 10.1016/j.fsc.2019.09.008.
Choi YJ, Kim JY, Nam JH, Clinical Outcome of 1064-nm Picosecond Neodymium-Doped Yttrium Aluminium Garnet Laser for the Treatment of Hypertrophic Scars. J Cosmet Laser Ther
. 2019;21(2):91-98.
doi: 10.1080/14764172.2018.1469768. Epub 2018 May 14.
Khunger N, Molpariya A, Khunger A. Complications of Tattoos and Tattoo Removal: Stop and Think Before you ink. J Cutan Aesthet Surg. 2015 Jan-Mar;8(1):30-6. doi: 10.4103/0974-2077.155072.
